“O médico pediu ultrassom com Doppler”. O que é isso?

Exame permite visualizar fluxo sanguíneo e detectar alterações vasculares que passariam despercebidas no ultrassom tradicional

Você está fazendo exames quando o médico solicita um ultrassom com Doppler. Afinal, o que pode ser isso? Muitos pacientes ficam em dúvida sobre as diferenças desse exame em relação ao ultrassom convencional – e vamos responder algumas delas aqui.

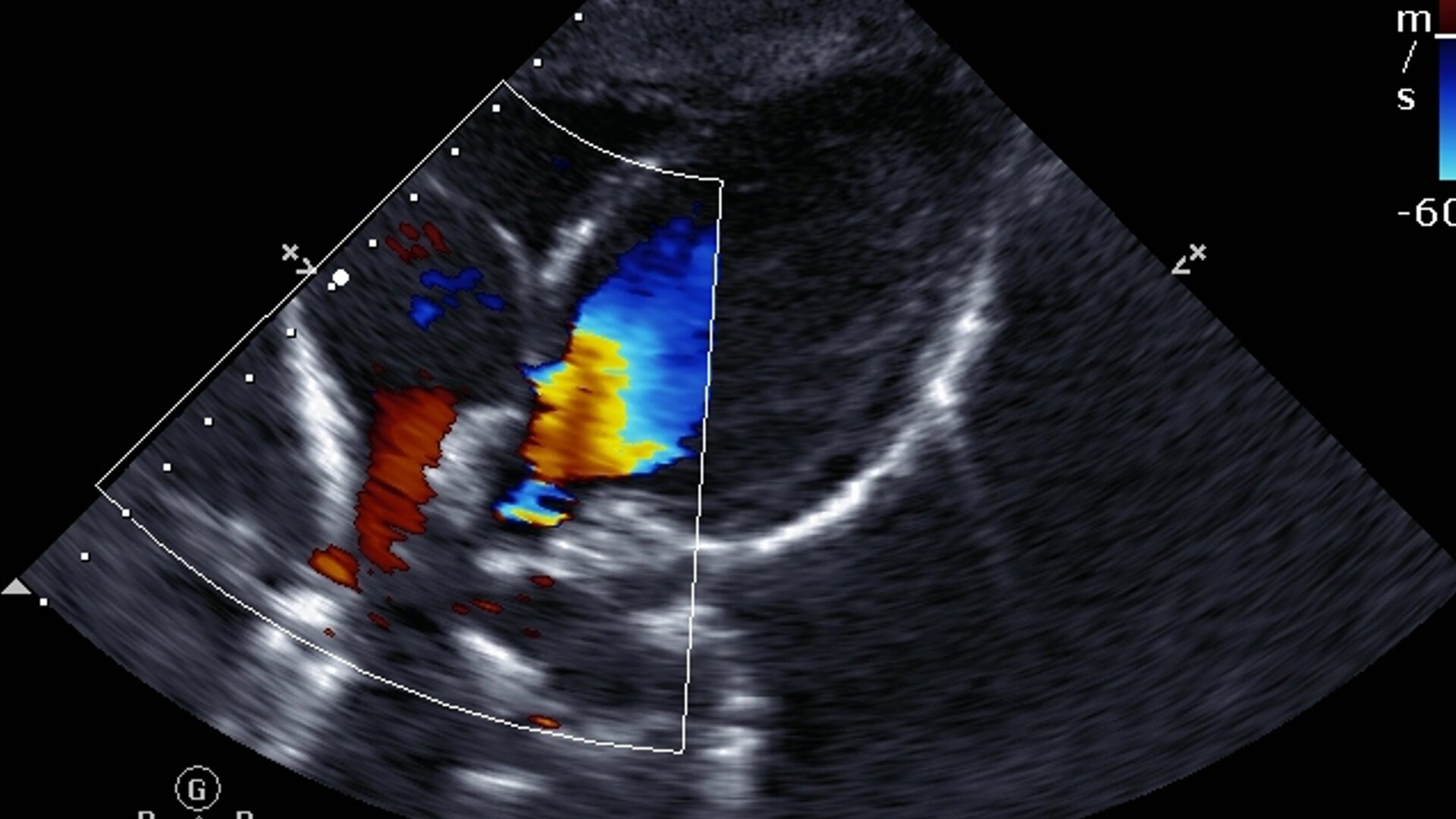
A principal diferença entre o ultrassom convencional e o Doppler está no que eles medem. O ultrassom convencional cria imagens estáticas dos órgãos e tecidos, enquanto o Doppler avalia o fluxo sanguíneo.

Dr. Armênio Mekhitarian, médico radiologista e diretor técnico do Instituto Avançado de Imagem (IAI), explica que o Doppler permite uma visualização mais dinâmica e detalhada do movimento do sangue nos vasos, “o que é fundamental para identificar obstruções, anormalidades e alterações na circulação que poderiam passar despercebidas no exame tradicional“, diz.

Quando o Doppler pode ser indicado

O ultrassom com Doppler é indicado em diversas situações clínicas. É usado para avaliar alterações nas carótidas, artérias responsáveis por levar sangue do coração ao cérebro. Essas alterações, causadas por obstruções ou estreitamentos desses vasos, podem levar até mesmo ao desenvolvimento de um acidente vascular cerebral. O médico pode pedir um ultrassom com Doppler para verificar a funcionalidade dos órgãos, especialmente em casos de pacientes que contam com predisposição genética para o desenvolvimento de doenças, como no caso da trombose ou de outras patologias cardiovasculares.

Como se preparar para o Doppler

Na grande maioria dos casos, a ultrassonografia com Doppler não exige que o paciente adote preparações especiais. No geral, não é necessário nenhum tipo de preparo anterior ao exame, como o jejum ou parar de consumir algo em especial. Mas fique atento pois algumas modalidades do exame exigem alguns cuidados, como é o caso da avaliação da região abdominal ou peitoral.

Para fazer o exame, o paciente precisa deitar em uma maca. Então, o médico passa um gel tanto no dispositivo quanto no corpo do paciente. O teste leva entre 10 a 30 minutos (podendo variar conforme o órgão e o avaliador) – vale lembrar que o exame, assim como um ultrassom convencional, é indolor e não causa nenhum tipo de incômodo.

O que perguntar ao médico

Antes de realizar o exame, é importante que o paciente tire suas dúvidas com o profissional. Algumas perguntas relevantes incluem: qual região será examinada, se há necessidade de preparo específico, qual o objetivo do exame e quando o resultado ficará disponível.

O paciente deve sempre questionar sobre os achados durante o próprio exame, pois isso ajuda a esclarecer dúvidas imediatamente e permite uma melhor compreensão do seu quadro clínico“, orienta Dr. Mekhitarian.

Aproveite o momento do exame para tirar dúvidas com o profissional que fará o procedimento. Ele é um médico radiologista, especializado em medicina diagnóstica, e poderá te orientar.

Confira a página especial sobre Doppler do Instituto Avançado de Imagem e confira as principais perguntas e respostas sobre o exame.

Faça seu exame de imagem com segurança e tratamento humanizado

Para diagnósticos como elastografia hepática, Doppler, Doppler transcraniano, biópsia, ultrassom, ultrassom morfológico 4D, punção e core-biópsia guiadas por ultrassom e ultrassom dermatológico de alta frequência, conte conosco com toda a segurança e qualidade que você merece.

Também fazemos atendimento domiciliar em toda grande São Paulo. Conheça o serviço de home care em São Paulo e marque sua consulta pelo WhatsApp: (11) 95299-4702 | 95299-4703.

Se preferir atendimento presencial, o IAI está localizado na Rua Amaral Gama, 333 – cj 124, Santana, em São Paulo/SP.

Fique informado sobre temas de exame de imagem também nas redes sociais! Acesse nosso Instagram e compartilhe com seus amigos – nossos conteúdos são baseados em evidências científicas e ajudam a combater as fake news. Siga-nos!

Fontes:

Dr. Armênio Mekhitarian – Diretor Clínico do Instituto Avançado de Imagem – Médico Radiologista – CRM SP 59.512 | RQE 45534

Nenhum comentário

Sorry, the comment form is closed at this time.